Science
Study Reveals Brain Maturation Continues Until Age 32
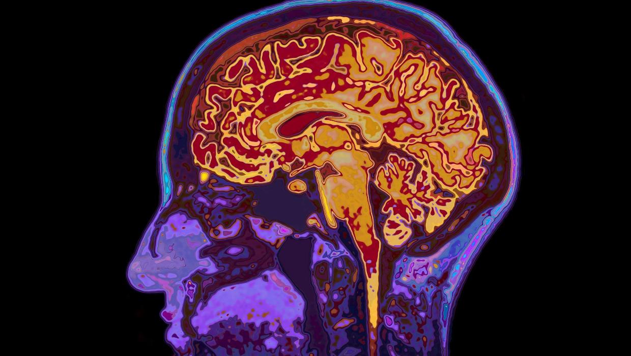
A recent study conducted by the University of Cambridge has revealed that human brain development continues into the early thirties, with significant changes occurring at various stages throughout life. The research identifies five major epochs of brain maturation, highlighting four critical turning points that shape cognitive abilities and emotional regulation.
The study indicates that the brain remains in a state of adolescence until around the age of 32. This finding challenges the traditional view that brain development concludes in the late teens. Instead, it suggests that the brain undergoes substantial maturation well into adulthood, influencing decision-making and social interactions.
Researchers have outlined four pivotal phases in brain development. The first stage, known as the early childhood epoch, focuses on the rapid growth of brain connections. This period is followed by a second phase in late childhood and early adolescence, where cognitive functions begin to mature, allowing for more complex thinking.
The third epoch, which extends into the mid-twenties, sees the brain refining its neural networks. The final phase, beginning in the late twenties and continuing until age 32, is characterized by enhanced emotional regulation and decision-making capabilities.
Interestingly, the study also notes that the process of aging in the brain typically starts around 66 years of age. This shift marks a decline in cognitive functions that can affect memory, reasoning, and overall mental health. Understanding these developmental phases is crucial as it underscores the importance of lifelong learning and mental engagement.
The research, published in the journal Nature, highlights the need for society to reconsider how we perceive age and maturity. The implications extend beyond individual development to inform educational practices, workplace policies, and mental health support systems.
As we gain insight into the complexities of brain development, it becomes evident that nurturing cognitive growth and emotional health across all ages is vital. This study serves as a reminder that our brains are not static but continue to evolve throughout our lives, offering opportunities for growth and adaptation even in later years.
Such findings may also lead to enhanced approaches in personal development and mental health strategies, emphasizing the importance of understanding our brains not merely as organs that age but as dynamic entities capable of change and growth.
-
World4 months agoTest Your Knowledge: Take the Herald’s Afternoon Quiz Today
-
Sports4 months agoPM Faces Backlash from Fans During Netball Trophy Ceremony
-
Lifestyle4 months agoDunedin Designers Win Top Award at Hokonui Fashion Event
-
Entertainment5 months agoExperience the Excitement of ‘Chief of War’ in Oʻahu
-
Sports4 months agoLiam Lawson Launches New Era for Racing Bulls with Strong Start
-
World5 months agoCoalition Forms to Preserve Māori Wards in Hawke’s Bay
-
Health4 months agoWalking Faster Offers Major Health Benefits for Older Adults
-
Lifestyle4 months agoDisney Fan Reveals Dress Code Tips for Park Visitors
-
Politics4 months agoScots Rally with Humor and Music to Protest Trump’s Visit
-
Top Stories5 months agoUK and India Finalize Trade Deal to Boost Economic Ties
-
Health2 months agoRadio Host Jay-Jay Feeney’s Partner Secures Visa to Stay in NZ
-
World5 months agoHuntly Begins Water Pipe Flushing to Resolve Brown Water Issue
